葛飾で矯正するなら
「奥戸いろは歯科」
プラチナ・プロバイダー
認定医
透明で目立ちにくいマウスピース矯正
目立たず、私らしく。自信が持てる、透明な選択。
矯正は、どの医院で治療しても同じではありません。
担当医師の技術力によって歯並びの治り方や治るまでの期間などが変わってきます。
当院では、矯正の認定医が常に在籍しているため、矯正の知識が豊富な医師が担当します。
年間症例51症例以上の実績あり
当院では、毎月4~5名が矯正治療を開始しています。
また、年間では51症例以上の症例数があります。
当院は一般歯科も行っており、矯正前の準備(虫歯治療、歯周治療、抜歯など)もワンストップで行うことができます。
また、矯正中に万が一、虫歯ができてしまった場合でもロスがなく迅速に対応可能です。
当院では、歯科限定で使える金利の安いデンタルローンを導入。
通常ローンよりも金利が安いのが特徴です。
矯正治療が月々6,000円を実現しました。
院長、矯正認定医ともに女性であるため、女性の歯科医師がご担当。

まずは、無料矯正相談の時間を使い、患者様のお話をお伺いさせていただきます。


矯正治療は、健康なお口の状態でないと、開始することができません。
そのために、患者様のお口の中に虫歯や歯周病などがないかの確認を行います。
(口腔内写真、パノラマ、歯式、歯周病検査、虫歯チェック)
※保険適用内になります。


初診検査した内容を元に患者様のお口の中のご説明をさせていただきます。
それぞれの患者様によって、お口の中の環境は異なります。
そのために、患者様が安心して矯正治療に専念できるように、このタイミングでチェックを行い、お伝えしています。
※処置が必要になった場合には、治療を行います。


患者様の資料採得を行った結果、もしもむし歯や歯周病の治療が必要になった場合には、矯正治療を始める前にむし歯治療、歯周病治療を先に行います。


矯正治療をご希望の患者様は、実際に矯正治療を行うことが可能かどうかを確認するために、精密検査を行います。
精密検査の内容は、セファロレントゲン、CT、iTeroデジタル口腔内スキャナーです。
¥11,000(税込)


精密検査の結果を元に、矯正治療が可能かどうかの診断いたします。
今後の治療計画、治療期間、金額について、
お伝えさせていただきます。


矯正器具が届き次第、治療開始になります。


矯正治療の進捗確認のために、1~3ヶ月に一度ご来院いただきます。
調整料は3,300円です。
※お子様の矯正の場合、4,400円。


きれいな歯並びが整って終わりではなく、後戻りをする可能性がありますので、保定装置をつけて保定期間を設けております。
大体装置を付けている期間位です。


治療終了後は、歯科衛生士による定期的な歯周病予防処置を行います。
患者様のお口の健康を長く実現するために一緒に頑張っていきましょう。
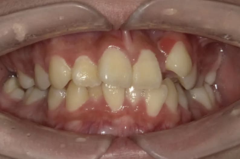
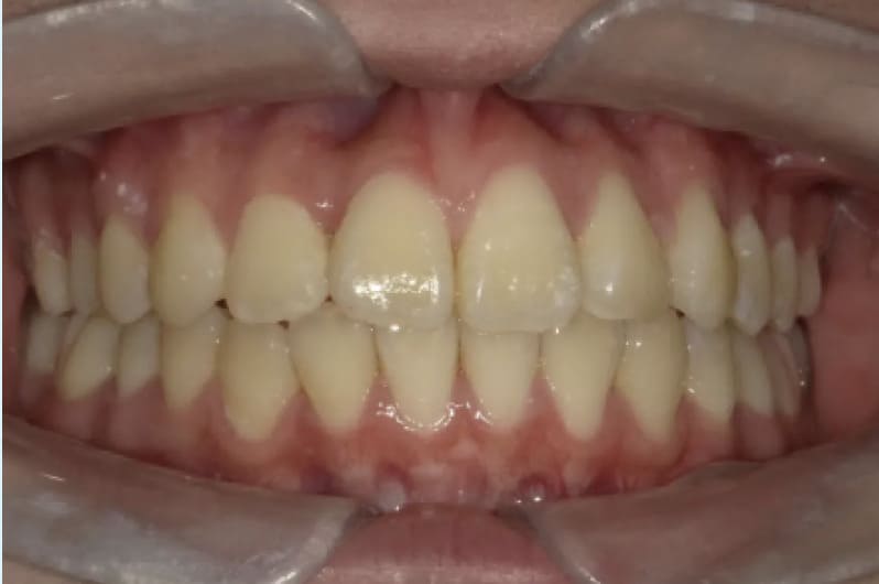
| 1 | |
|---|---|
| Before | ![]() |
| After | ![]() |
| 性別 | 男性 |
| 年齢 | 小学校高学年 |
| 治療費用 | 902,000円 |
| 治療期間 | 1年9か月 |
| 治療内容 | マウスピース矯正 |
| リスク 副作用 |
矯正治療の一般的なリスクといたしましては、治療中のお痛み・歯根吸収・歯肉退縮・治療後の後戻りなどが生じる可能性があります。矯正治療は始めると、元の状態に戻すのが難しいことがあります。 |
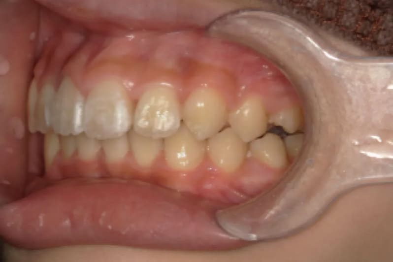
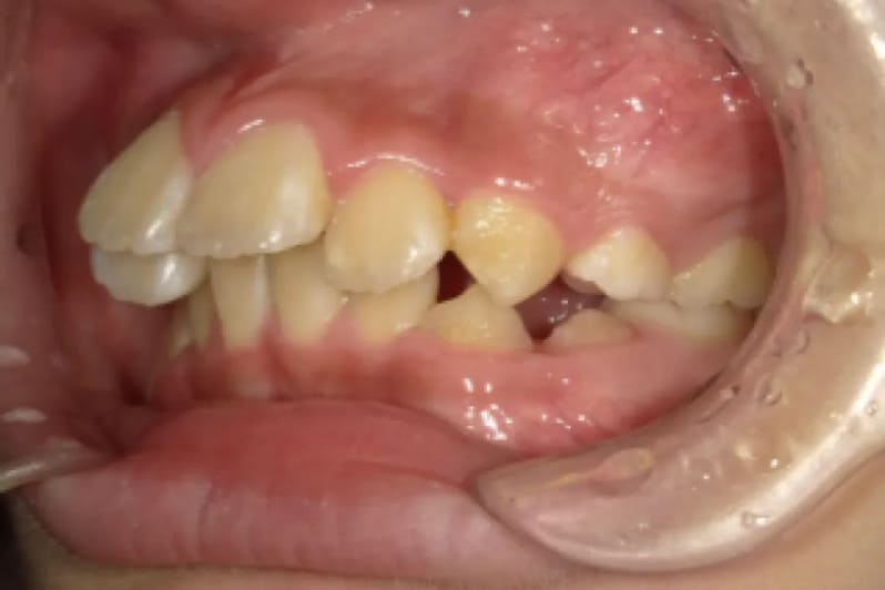
| 2 | |
|---|---|
| Before | ![]() |
| After | ![]() |
| 性別 | 女性 |
| 年齢 | 10代 |
| 治療費用 | 902,000円 |
| 治療期間 | 2年11ヶ月 |
| 治療内容 | マウスピース矯正 |
| リスク 副作用 |
矯正治療の一般的なリスクといたしましては、治療中のお痛み・歯根吸収・歯肉退縮・治療後の後戻りなどが生じる可能性があります。矯正治療は始めると、元の状態に戻すのが難しいことがあります。 |
お口の健康状態にもよりますが、基本的にはマウスピース矯正は何歳でも受けることができます。
可能です。ワイヤー矯正に比べてより安全です。
マウスピース矯正は矯正していることが分かりづらいのが特徴です。
当院では各種クレジットカード払いのほか当院では各種クレジットカード払いのほか、デンタルローン(月々払い)の分割払いもご用意いたしておりますのでお気軽にご相談ください。
55,000円 (税込)
ライトパッケージ
657,800円 (税込)
フルパッケージ
902,000円 (税込)
847,000円 (税込)
当院では金利が安いアプラスのデンタルローンが利用可能です。
各種クレジットカードも利用可能です。
クレジットカード
下記マークのクレジットをご利用いただけます。 ※各社ごとの金利は患者様負担となります。

デンタルローン
当院では、アプラスと提携し、より多くの患者様に治療をご提供できるよう歯科に特化したデンタルローンを導入しております。 デンタルローンとは、歯科治療費をアプラスが代わりにお支払いし、患者様が自由に組めるプラン(回数)に沿って返済していただく仕組みです。 ※学生の場合、保証人が必要となります。

デンタルローンでのお支払いシミュレーションはこちら▼
https://simulation.aplus.co.jp/simple/
年率は5.8%でご計算ください。
医療費控除とは
ご自身または、ご家族の医療費用をお支払いした際には、一定金額の所得控除を受けることが可能です。 これが、医療費控除です。
医療費控除額と還付金の計算式

所得税率の早見表 (平成27年以降)
| 課税される所得金額 | 税率 |
|---|---|
| 195万円以下 | 5% |
| 195万円〜330万円以下 | 10% |
| 330万円〜695万円以下 | 20% |
| 695万円〜900万円以下 | 23% |
| 900万円〜1,800万円以下 | 33% |
| 1,800万円〜4,000万円以下 | 40% |
| 4,000万円〜 | 45% |
医療費控除の例
控除額は所得に応じて変わり、実質的な負担額は以下のようになります。
治療費合計が370,000円だった場合
| 所得金額 | 税控除額 | 実際の負担額 |
|---|---|---|
| 年収200万円の人 | 27,000円 | 343,000円 |
| 年収300万円の人 | 27,000円 | 343,000円 |
| 年収400万円の人 | 254,000円 | 316,000円 |
| 年収800万円の人 | 62,100円 | 307,900円 |
| 年収1000万円の人 | 89,100円 | 280,900円 |
| 年収2000万円の人 | 108,000円 | 262,000円 |
| 年収4500万円の人 | 121,500円 | 248,500円 |
| 医院名 | 奥戸いろは歯科・矯正歯科 |
|---|---|
| 住所 | 〒124-0022 東京都葛飾区奥戸2-15-7 スプリングビル1F |
| 電話 | 03-5875-7171 |
「京成立石駅」より徒歩10分
「ビバホーム奥戸街道店」
「ライフ奥戸街道店」
の目の前・徒歩1分
| 月 | 火 | 水 | 木 | 金 | 土 | 日 | |
|---|---|---|---|---|---|---|---|
| 9:00〜13:00 | - | ||||||
| 14:00〜17:00 | - |